Bacillus coagulans là một loài lợi khuẩn của đường tiêu hóa được sử dụng rất phổ biến trong các chế phẩm hỗ trợ hấp thu, bảo vệ sức khỏe. Đây là vi khuẩn thuộc nhóm vi khuẩn acid lactic. Bài viết dưới đây sẽ mang đến những thông tin về công dụng của Bacillus coagulans.
1. Bacillus coagulans là gì? Cơ chế hoạt động của Bacillus coagulans
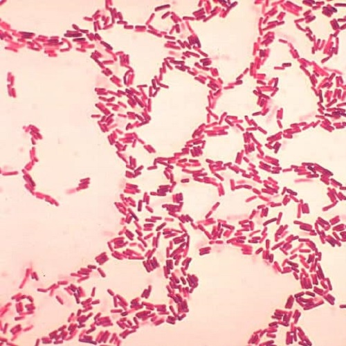
Bacillus coagulans là một loài trực khuẩn (có dạng hình que) trong hệ tiêu hóa của người và động vật, vừa thuộc nhóm Lactobacillus và nhóm Bacillus. B. coagulans thuộc nhóm vi khuẩn gram dương kỵ khí, có khả năng di chuyển, tồn tại ở điều kiện nhiệt độ từ 35°C đến 50°C, pH 5,5 – 6,5.
Cơ chế hoạt động của B. coagulans như sau:
Bacillus coagulans có khả năng tạo bào tử, thủy phân đường thành acid lactic và sinh ra coagulin có tác dụng tạo pH cho đường ruột và ức chế sự phát triển của các vi khuẩn có hại. Ngoài ra, vi khuẩn này còn có khả năng sản sinh ra một số enzyme như amylase và protease hỗ trợ hệ tiêu hóa hoạt động khỏe mạnh, hấp thu chất dinh dưỡng tối ưu. B. coagulans đóng vai trò tăng cường miễn dịch, ngăn ngừa rối loạn tiêu hóa, bổ sung hệ vi khuẩn và men tiêu hóa cho đường ruột.
2. Vai trò và ứng dụng của Bacillus coagulans
Bacillus coagulans tác dụng:
- Bacillus coagulans được sử dụng là thành phần trong các sản phẩm men tiêu hóa và thực phẩm bảo vệ sức khỏe.
Men vi sinh là chế phẩm chứa các vi sinh vật có ích hay còn gọi là lợi khuẩn, rất thích hợp cho các trường hợp rối loạn hệ tiêu hóa, thiếu lợi khuẩn, mất cân bằng vi sinh vật do dùng kháng sinh lâu ngày. Bổ sung B. coagulans vào đường ruột giúp cân bằng hệ vi sinh đường ruột và ổn định các vấn đề về tiêu hóa.
- Bacillus coagulans giúp bảo vệ hệ tiêu hóa, cho đường ruột khỏe mạnh.
Nghiên cứu lâm sàng cho thấy B. coagulans giúp hỗ trợ tăng cường, cải thiện sức khỏe của các tế bào niêm mạc ruột bằng cách giảm viêm. Nhờ vậy cơ thể hấp thu chất dinh dưỡng một cách dễ dàng và tối ưu, cải thiện khả năng tiêu hóa.
- Lợi khuẩn Bacillus coagulans hỗ trợ đào thải độc tố cơ thể.
Ngoài việc sản xuất các enzyme tiêu hóa, Bacillus coagulans cũng có thể sản xuất các chất chuyển hóa như diacetyl, axit béo chuỗi ngắn (SCFA) và vitamin. B. coagulans cũng giúp giảm thiểu các chất có hại được sinh ra trong hệ tiêu hóa, cải thiện môi trường trao đổi chất trong ruột. Chính điều này đã thúc đẩy nhu động ruột khỏe mạnh và tránh tích tụ độc tố trong cơ thể.
3. Đặc điểm nguyên liệu vi khuẩn Bacillus coagulans
Với những vai trò vô cùng lớn đối với cơ thể và đời sống, nguyên liệu Bacillus coagulans được Công ty Cổ phần Nghiên cứu và Ứng dụng Công nghệ Sinh học Xanh Grat sản xuất ra để ứng dụng trong bào chế thực phẩm bảo vệ sức khỏe.
Nguyên liệu vi khuẩn Bacillus coagulans dạng bột
- Thành phẩm ở dạng bột màu trắng ngà đến vàng nâu, mịn, đồng nhất, mùi đặc trưng
- Hoạt lực: ≥ 1×10^10 CFU/g
- Xuất xứ: Việt Nam
- Đóng gói:Túi 100g; 200g; 500g; 1 kg; 2 kg; 5 kg. Thùng 10 kg, 20 kg, 25 kg.
- Hạn sử dụng: 2 năm kể từ ngày sản xuất.
- Bảo quản: Nơi khô ráo thoáng mát, tránh ánh sáng trực tiếp
Trên đây là những thông tin chi tiết về men vi sinh Bacillus coagulans. Công ty Cổ phần Nghiên cứu và Ứng dụng Công nghệ Sinh học Xanh Grat cung cấp sản phẩm men vi sinh với nhiều hoạt lực, đóng gói và bảo quản phù hợp.








Đánh giá
Chưa có đánh giá nào.